Call me back
Smile gallery




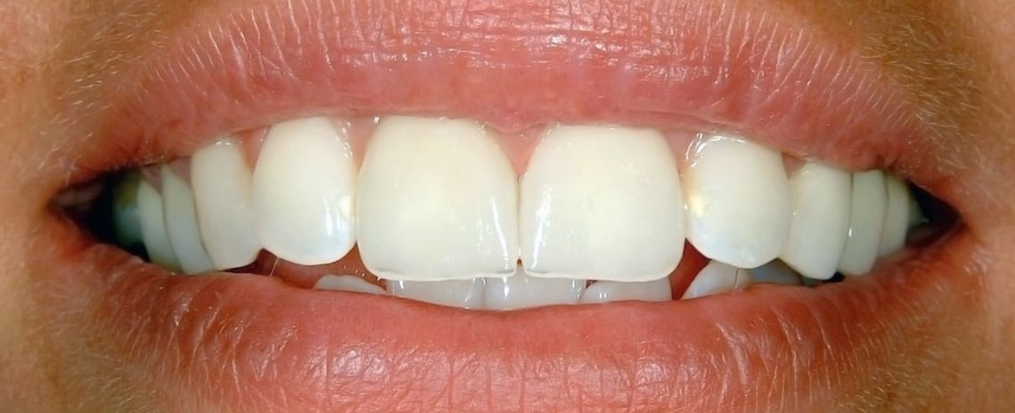
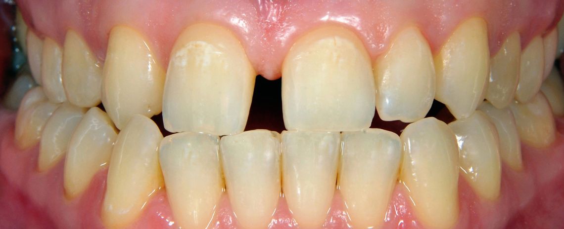
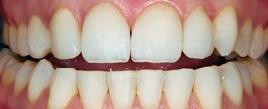
Composite Bonding and Whitening


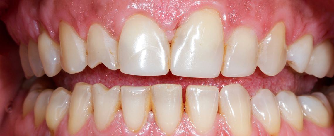
Crown


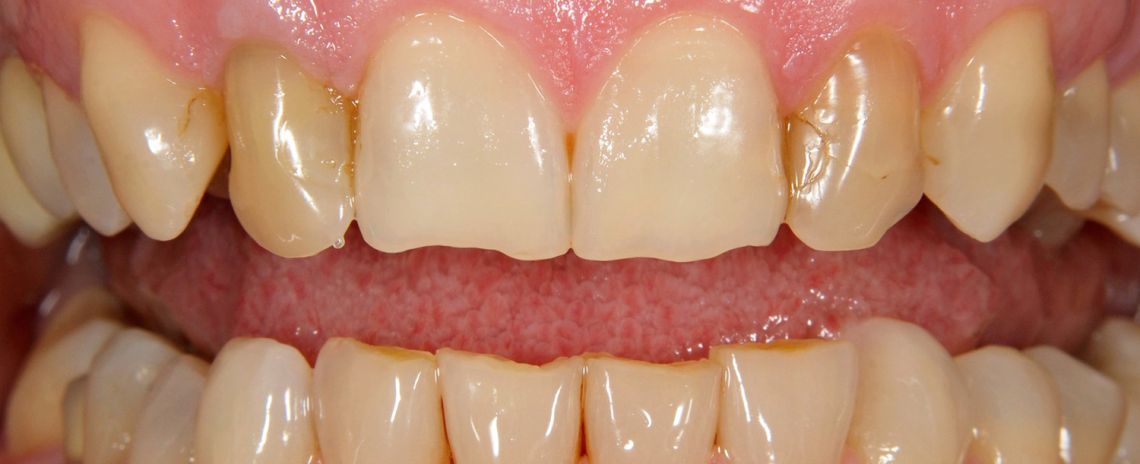
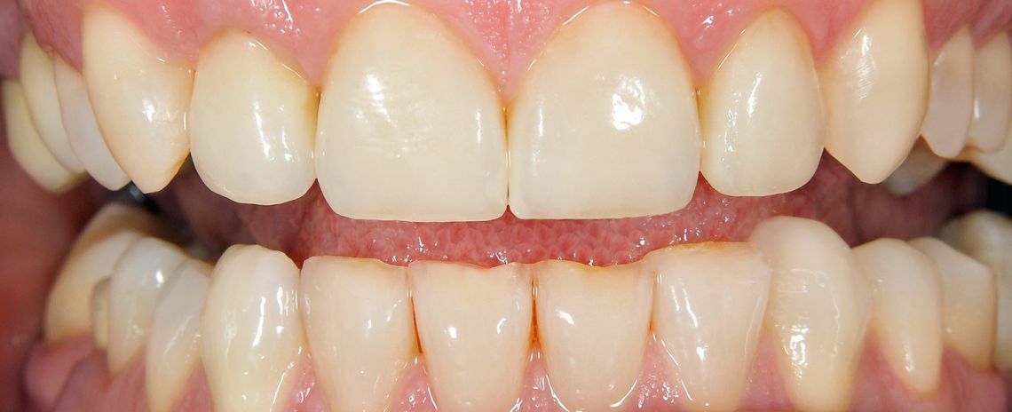
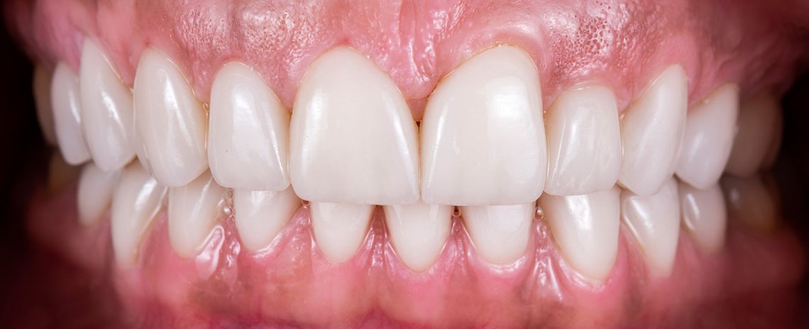
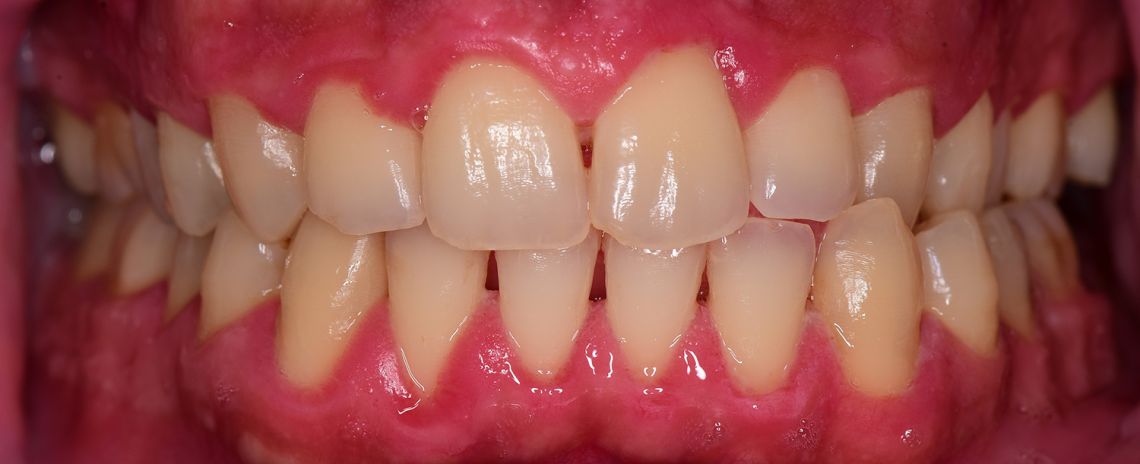
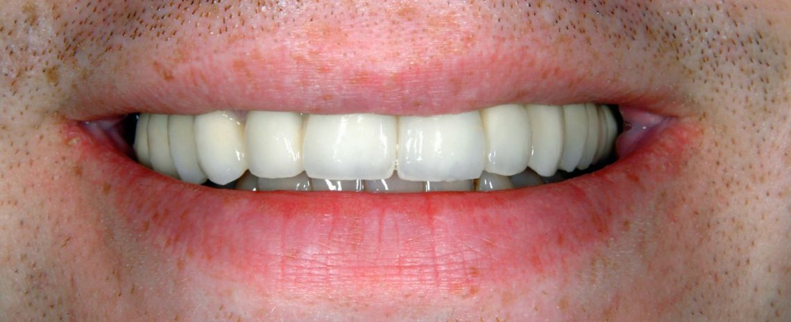
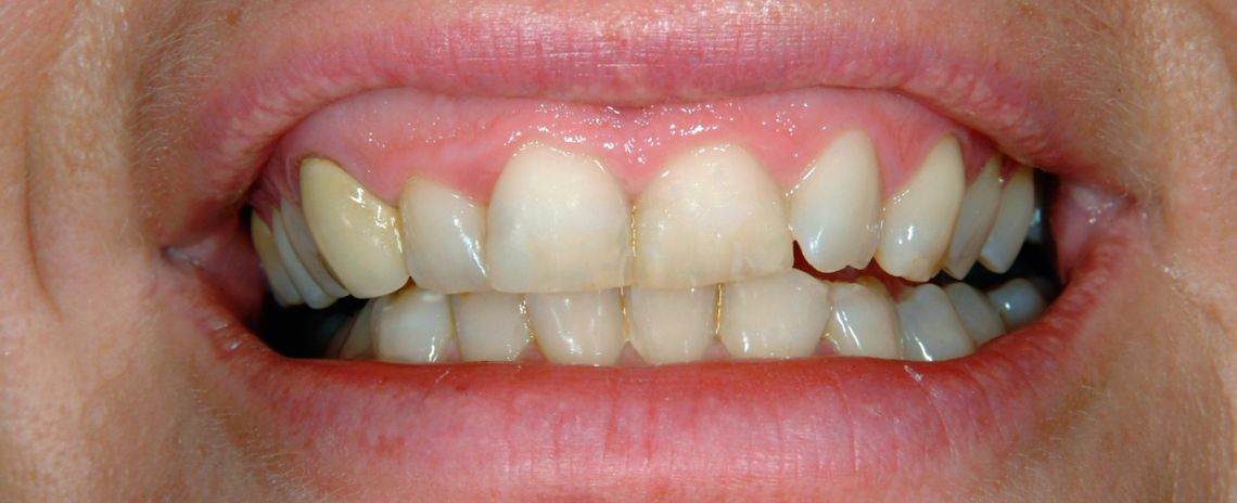
Crowns and Veneers


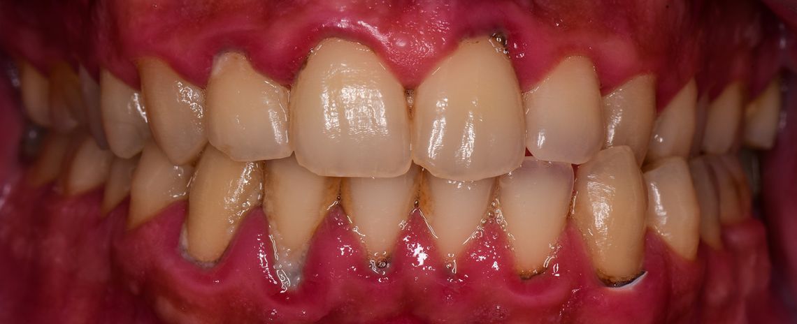
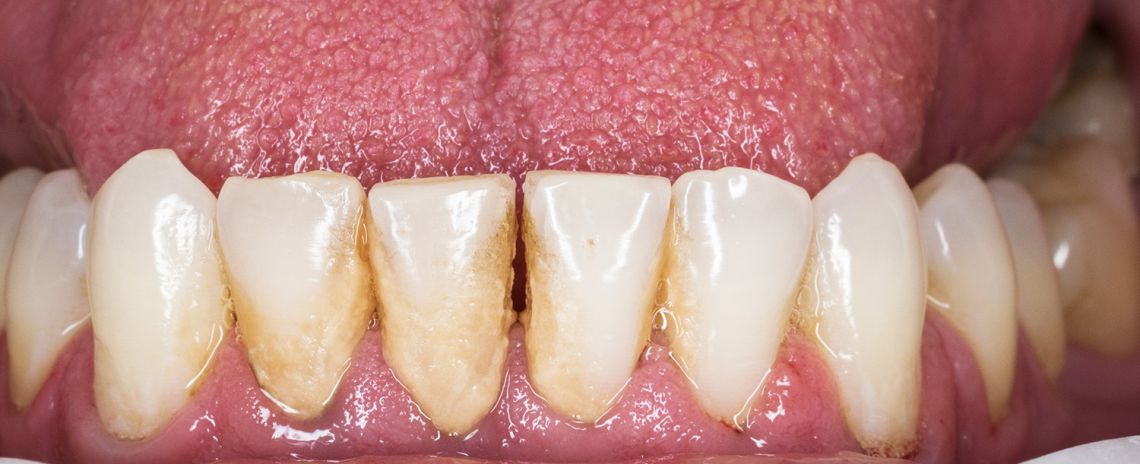
Gum Disease Clean


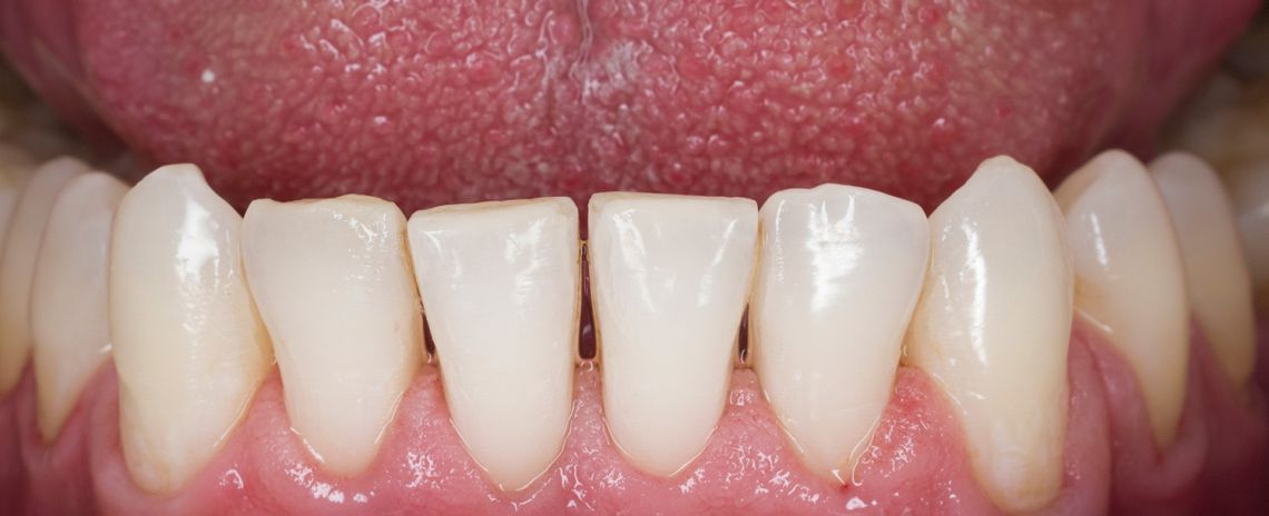
Hygiene Clean


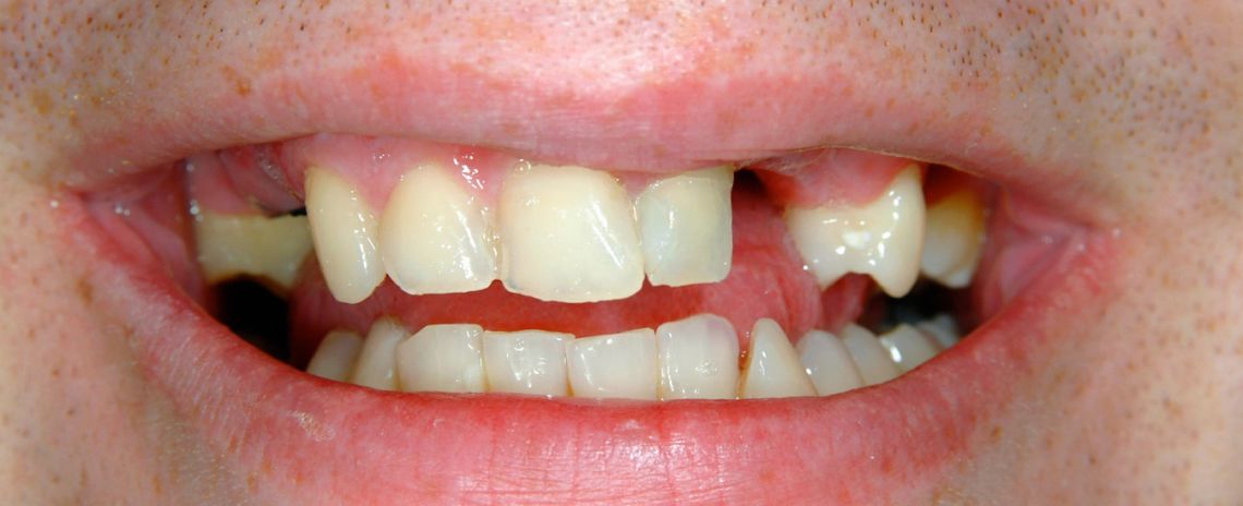
Implant Denture


Teeth Straightening, Sculpting and Composite Bonding


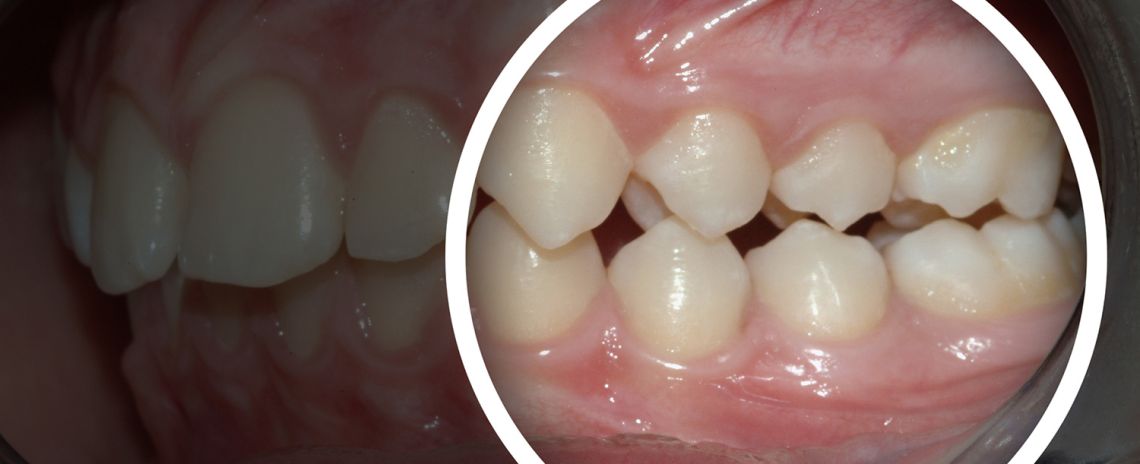
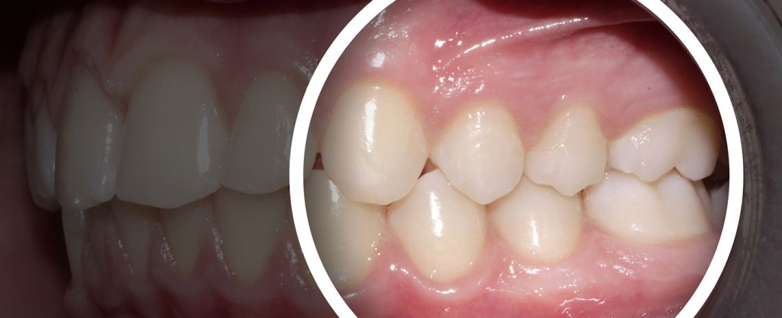
Teeth Straightening and Whitening


Teeth Whitening


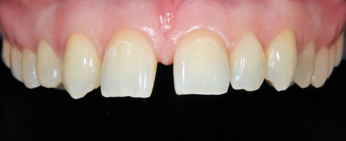
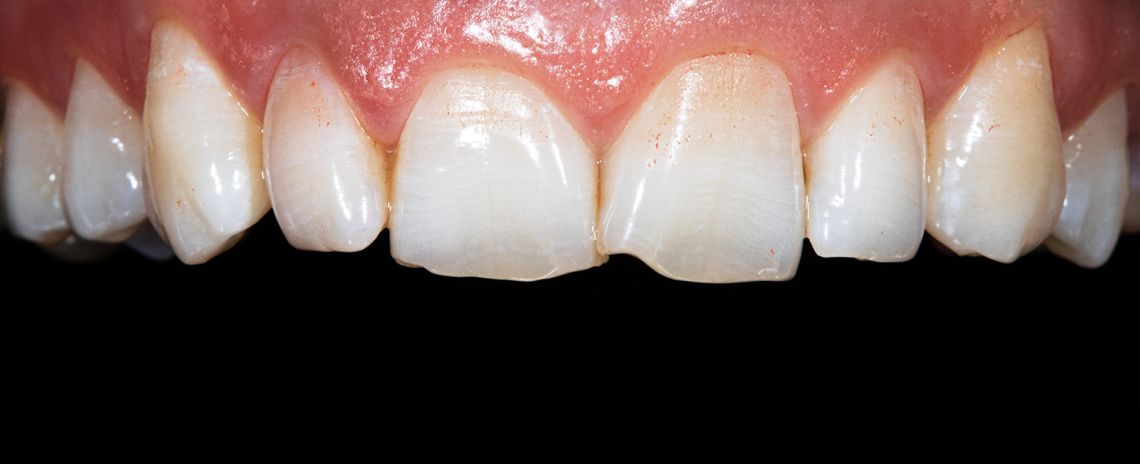
Veneers


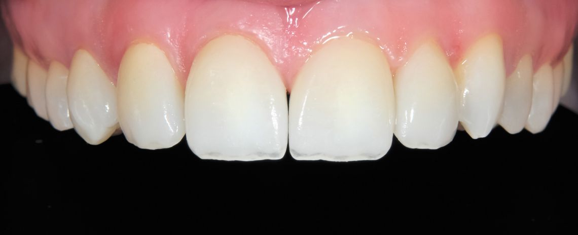
Veneers

